alt

Цинга ховається в тінях історії, як привид забутих морських подорожей, де моряки падали жертвами невидимого ворога. Ця недуга, спричинена банальною нестачею вітаміну C, перетворювала сильних чоловіків на тіні самих себе, з кровоточивими яснами та ранами, що не гоїлися. Сьогодні, в епоху свіжих фруктів і вітамінних добавок, цинга здається архаїчним пережитком, але випадки все ще трапляються в ізольованих спільнотах чи серед тих, хто ігнорує базові потреби харчування.

Уявіть старовинний корабель, що пливе безкраїм океаном, де екіпаж харчується солоним м’ясом і сухарями місяцями. Без свіжих овочів чи фруктів організм починає руйнуватися зсередини, бо вітамін C – це ключовий будівельний матеріал для колагену, що тримає тканини разом. Коли його бракує, судини слабшають, шкіра тріскається, а імунна система дає збій. Це не просто хвороба – це урок про те, як тендітна рівновага в нашому тілі залежить від щоденних звичок.

Але цинга не обмежується морем. Вона може вразити будь-кого, хто живе на одноманітній дієті, наприклад, літніх людей з обмеженим доступом до продуктів чи тих, хто страждає від розладів харчування. У сучасному світі, з його фастфудом і стресами, ця недуга нагадує, що здоров’я – це не даність, а постійна турбота.

Історія цинги: від античності до відкриття вітаміну C

Історія цинги тягнеться корінням у давнину, коли стародавні єгиптяни вже помічали дивні симптоми в мандрівників, позбавлених свіжої їжі. У середньовіччі хрестоносці стикалися з нею під час тривалих походів, описуючи кровотечі та слабкість як “прокляття пустелі”. Але справжній розмах хвороба набула в епоху великих географічних відкриттів, коли флотилії на кшталт експедиції Васко да Гами втрачали до двох третин екіпажу через цю невидиму загрозу.

У 1498 році, під час подорожі до Індії, Васко да Гама спостерігав, як його моряки слабшали, їхні ясна набухали, а зуби випадали. Повернувшись, він розповів про “хворобу ясен”, що забрала понад сто життів. Подібні трагедії повторювалися в експедиціях Колумба та Магеллана, де цинга ставала страшнішим ворогом, ніж шторми. У 18 столітті британський лікар Джеймс Лінд провів революційний експеримент на борту корабля “Солсбері”, розділивши хворих моряків на групи і давши одним цитрусові. Результати були вражаючими: лимони та апельсини виліковували недугу за лічені дні. Це стало першим клінічним випробуванням в історії медицини, хоча Лінд не знав про вітамін C – він просто бачив ефект.

У 19 столітті цинга спалахувала під час золотої лихоманки в Каліфорнії чи в арктичних експедиціях, як у випадку з Джоном Франкліном, чия команда загинула в 1845 році частково через цю хворобу. Лише в 1932 році Альберт Сент-Дьйорді виділив аскорбінову кислоту, поклавши край загадці. Сьогодні, за даними Всесвітньої організації охорони здоров’я, цинга рідкісна, але фіксується в зонах бідності чи конфліктів, наприклад, у деяких регіонах Африки чи серед біженців. Ця історія вчить, як наука перетворює жах на знання, роблячи минулі помилки сходинками до прогресу.

Причини розвитку цинги: чому організм дає збій

Цинга виникає, коли в організмі критично бракує вітаміну C, який не синтезується людиною і мусить надходити з їжею. Цей вітамін – як клей для сполучної тканини, він допомагає формувати колаген, що підтримує судини, шкіру та кістки. Без нього стінки капілярів стають крихкими, призводячи до внутрішніх кровотеч і запалень.

Основна причина – неповноцінне харчування: дієти без фруктів і овочів, як у веганів без добавок чи людей на консервованій їжі. Фактори ризику включають алкоголізм, що порушує всмоктування вітамінів, або хвороби шлунково-кишкового тракту, як хвороба Крона. У дітей цинга може проявлятися як хвороба Барлоу, часто через штучне вигодовування без вітамінних доповнень. За даними Центрів з контролю та профілактики захворювань (CDC), сучасні випадки трапляються серед бездомних чи в тюрмах, де раціон обмежений. Навіть куріння прискорює руйнування вітаміну C, роблячи курців уразливішими.

А тепер подумайте про парадокс: в еру супермаркетів цинга все ж чатує на тих, хто обирає чіпси замість яблук. Це не просто дефіцит – це сигнал про дисбаланс у житті, де зручність перемагає здоров’я.

Симптоми цинги: від перших ознак до критичних станів

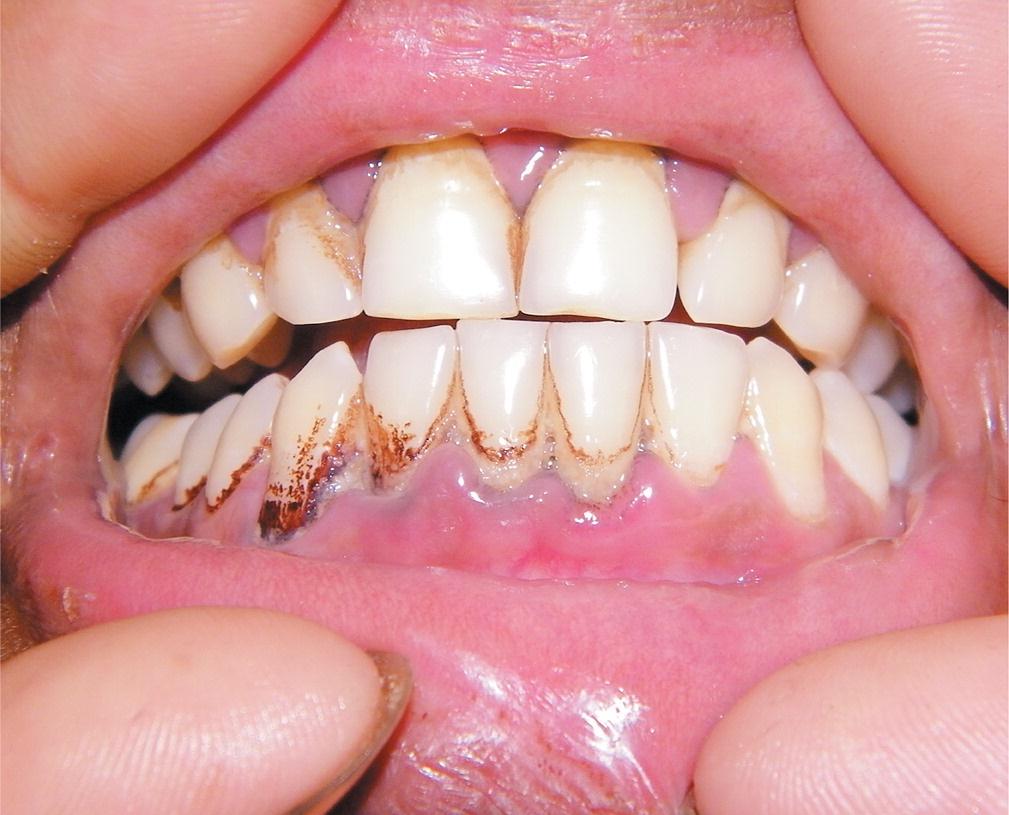
Симптоми цинги наростають поступово, ніби тихий шторм, що набирає сили. Спочатку з’являється втома, дратівливість і слабкість – ніби тіло шепоче про проблему. Через 1-3 місяці без вітаміну C ясна набухають, стають пурпуровими і кровоточать при найменшому дотику, зуби хитаються, а подих набуває гнилого запаху.

Шкіра грубіє, з’являються синці від найменшого удару, рани не гояться тижнями. У важких випадках виникають внутрішні кровотечі, набряки ніг, біль у суглобах і навіть серцеві проблеми. Діти можуть страждати від деформацій кісток, а дорослі – від анемії через втрату крові. За описами з сайту Mayo Clinic, пізні стадії включають жовтяницю та судоми, що можуть призвести до смерті без лікування.

Ці ознаки не просто фізичні – вони руйнують дух, перетворюючи активну людину на тінь. Уявіть, як проста кровотеча з ясен змушує уникати їжі, посилюючи цикл дефіциту.

Діагностика цинги: як виявити прихованого ворога

Діагностика цинги починається з уважного огляду: лікар шукає характерні симптоми, як кровоточиві ясна чи синці, і розпитує про дієту. Аналіз крові на рівень вітаміну C – ключовий тест, де значення нижче 0,2 мг/дл сигналізує про дефіцит.

Рентген може показати зміни в кістках, особливо в дітей, а біопсія ясен підтверджує порушення колагену. Диференціальна діагностика виключає подібні стани, як лейкемію чи хворобу фон Віллебранда. За даними PubMed, сучасні випадки часто діагностують запізно через рідкість хвороби, але швидкий тест на аскорбінову кислоту в плазмі дає відповідь за години.

Це не просто аналізи – це детективна робота, де історія харчування стає головним clue, рятуючи життя від непотрібних ускладнень.

Лікування цинги: шлях до відновлення

Лікування цинги – це повернення до основ: негайне поповнення вітаміну C. Дорослим призначають 300-1000 мг аскорбінової кислоти щодня перорально, а в тяжких випадках – внутрішньовенно. Симптоми відступають за 1-2 тижні: ясна перестають кровоточити, рани гояться, енергія повертається.

Підтримуюча терапія включає знеболювальні для суглобів і антибіотики при інфекціях. Дієта збагачується цитрусовими, ківі, болгарським перцем – продуктами, багатими на вітамін C. За рекомендаціями Американської академії педіатрії, для дітей доза менша, але ефект той самий. Повне одужання займає місяці, але рецидиви рідкісні при правильному харчуванні.

Це не просто пігулки – це трансформація, де тіло, ніби фенікс, відроджується з попелу дефіциту, нагадуючи про силу простих рішень.

Профілактика цинги: прості кроки для здоров’я

Профілактика цинги зводиться до різноманітного раціону: щодня споживайте 75-90 мг вітаміну C, що легко з апельсином чи жменею полуниці. Для груп ризику, як курці чи вагітні, рекомендуються добавки.

Освіта грає роль: у школах і громадах акцентують на важливості свіжих продуктів. У подорожах беріть вітамінні комплекси, а в ізольованих регіонах – організовуйте постачання фруктів. За даними WHO, глобальні програми харчування знизили випадки на 90% з 2000 року.

Це не правила – це звички, що роблять життя міцнішим, ніби щит від забутих загроз.

Цікаві факти про цингу

  • 🍋 Джеймс Кук уникнув цинги в експедиціях, змушуючи екіпаж їсти квашену капусту – природне джерело вітаміну C, що зробило його героєм профілактики.
  • 🦷 У 18 столітті британський флот втрачав більше моряків від цинги, ніж від битв, поки лимонний сік не став обов’язковим раціоном.
  • 🌍 Сучасний спалах цинги зафіксовано в 2024 році серед біженців у Сирії, де брак їжі призвів до десятків випадків, за даними Червоного Хреста.
  • 🐒 Більшість тварин синтезують вітамін C самостійно, але люди, мавпи та морські свинки – винятки, що робить нас уразливими.
  • 📜 Слово “scurvy” походить від староанглійського “scurf”, що означає “лущення шкіри”, точно описуючи симптоми.

Сучасні аспекти цинги: уроки для 2025 року

У 2025 році цинга не зникла повністю: випадки фіксуються серед людей з ожирінням на обмежених дієтах чи в зонах харчової небезпеки. Дослідження в журналі The Lancet показують, що пандемії, як COVID-19, підвищують ризик через ізоляцію та погане харчування.

Науковці вивчають генетичні фактори, чому деякі люди витримують дефіцит довше. У культурі цинга стала метафорою для “внутрішнього розпаду” в літературі, як у творах Джека Лондона. Це нагадує, як минуле формує сьогодення, спонукаючи цінувати прості дари природи.

Важливо пам’ятати: навіть у добу технологій, базові вітаміни – основа стійкості організму.

Порівняння цинги з іншими авітамінозами

Цинга – не єдиний ворог від дефіциту, але її симптоми унікальні. Ось таблиця для наочності:

Хвороба Вітамін, що бракує Основні симптоми Групи ризику
Цинга Вітамін C Кровоточиві ясна, синці, втома Моряки, бідні, курці
Бері-бері Вітамін B1 Нервові розлади, серцеві проблеми Алкоголіки, на рисі
Рахіт Вітамін D Деформації кісток Діти з браком сонця
Пелагра Вітамін B3 Дерматит, діарея, деменція На кукурудзяній дієті

Ця таблиця, заснована на даних з сайту healthline.com та журналу Nutrients, ілюструє, як кожен дефіцит б’є по різних системах. Цинга вирізняється судинними проблемами, роблячи її “хворобою мандрівників”.

Після такого порівняння стає зрозуміло, чому баланс вітамінів – це симфонія здоров’я, де кожна нота важлива.

Вплив цинги на суспільство та культуру

Цинга не лише вбивала, але й змінювала хід історії: вона сповільнювала колонізацію, змушуючи флотилії повертатися. У літературі, як у “Мобі Діку” Германа Мелвілла, вона символізує ізоляцію та розпад. Сучасні фільми, на кшталт “Володаря морів”, оживають її жахи, роблячи уроки вічними.

У 2025 році кампанії з харчування, як у ЄС, використовують історію цинги для просвіти, перетворюючи трагедію на інструмент профілактики. Це показує, як хвороба стає каталізатором змін, змушуючи суспільство еволюціонувати.

Від Володимир Левчин

Володимир — контент-менеджер блогу з 5-річним досвідом у створенні захопливого контенту. Експерт у digital-маркетингу, фанат технологій.

Залишити відповідь

Ваша e-mail адреса не оприлюднюватиметься. Обов’язкові поля позначені *